Cáncer de mamas puede ser detectado gracias a la Inteligencia Artificial
La inteligencia artificial detecta el cáncer de mama 5 años antes de que se desarrolle
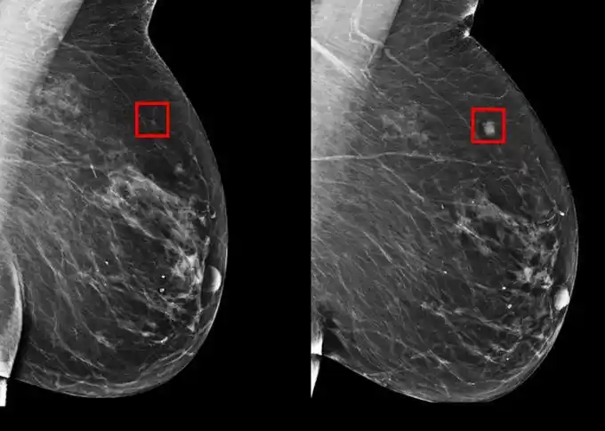
Utilizando Inteligencia Artificial (IA), investigadores del Hospital General de Massachusetts desarrollaron un modelo para predecir el cáncer de mama hasta cinco años antes de que se manifieste.
Los investigadores probaron la tecnología con datos de 2009 a 2022 provenientes de 90,000 mamografías de más de 6,000 pacientes del Hospital General de Massachusetts.
Lea también: ¿Dolor en los senos? Estas son las causas
El sistema de inteligencia artificial pudo detectar patrones sutiles que no podían ser identificados por humanos en los tejidos mamarios, logrando prever las posibilidades del desarrollo del cáncer.
:format(webp):quality(40)/https://impactovecdn.eleco.com.ar/media/2023/06/FspvKKhWwAIWFZO-1-1.jpg)
Este avance científico permitirá personalizar tratamientos y seguimientos, adaptándose a las necesidades y riesgos específicos de cada paciente.
Además, el modelo es efectivo en mujeres blancas y negras, abordando disparidades raciales en la detección del cáncer.
Lea también: CÁNCER DE SENO: autoexamen, mamografía y diagnóstico temprano: trilogía que te SALVA
La inteligencia artificial predijo el 31% de los casos de pacientes de alto riesgo, lo que representa una mejora significativa en la prevención de la enfermedad, ya que las técnicas tradicionales anteriores solo podían predecir el 18% de estos casos.
Los investigadores esperan aplicar este enfoque a otras enfermedades, revolucionando el diagnóstico temprano y la atención médica.
Fuente: Somos Cosmos

:format(webp):quality(40)/https://impactovecdn.eleco.com.ar/media/2023/06/DPZGZQIW5NCMVA3NNNE4AAUPEA.jpg)
Para comentar, debes estar registradoPor favor, inicia sesión